主な眼の病気(症状)

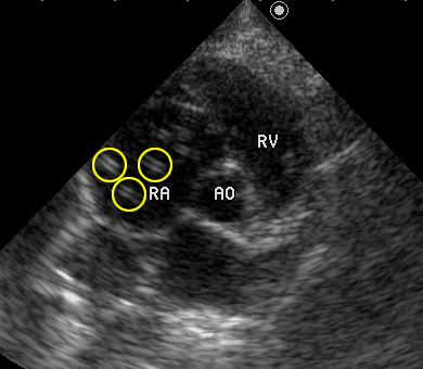
猫のフィラリア症の心エコー検査。
黄色の円で囲まれた、白い「=」の形をしているのがフィラリアの中虫です。
予防薬を飲んでも、そのお薬が「1カ月間効く」とか「蚊に刺されなくなる」といった効果は残念ながらありません。
しかも、予防薬が効いているのはわずか1日だけなのです。
予防薬とは名ばかりで、実は駆虫薬なのです。
フィラリアは蚊によって伝染しますが、蚊に刺されると体内にフィラリアの子虫が侵入し感染します。
そして予防薬は体内に侵入した子虫を駆虫するわけです。
ただし、予防薬が駆虫できる期間は子虫が体内に入って1~1.5ヶ月以内です。
ですから、お薬の投与開始時期は蚊が発生してからの1ヵ月後、そして投与終了時期は蚊がいなくなってから1ヵ月後までとなるわけです。
つまり、静岡での予防薬の投与期間は4月下旬~11月下旬(8ヶ月間)の毎月1回の投与となります。
もちろん、沖縄県のような暖かい地域では1年中お薬を飲ませ続けますし、逆に北海道のような涼しい地域では予防期間は短くなります。
また、地球温暖化によって蚊の発生時期が早くなるようなことがあれば、予防薬の投与時期が早まる可能性もあるのです。
当院では、月1回の投与タイプを3種類と、注射タイプ(6ヶ月と12ヶ月間有効)の2種類を扱っています。
それぞれの特徴についてご説明しましょう。
◇ 錠剤タイプ
月に1回の投与になります。錠剤のお薬です。
◇ ジャーキータイプ
月に1回の投与になります。お薬が苦手な子向けの、おやつ感覚で食べられるタイプです。
◇ スポットタイプ
月に1回皮膚につけるお薬です。同時にノミ・ダニ予防が出来ます。ノミ・ダニの予防は1ヶ月間持続します。
※ これら月1回のお薬の場合はその年の投薬開始前に、前年の予防がしっかり出来ているか(フィラリアに感染していないか)を確認するための血液検査が必要になります。
◇ 注射タイプ
1回の接種で駆虫効果が12ヶ月間または6ヶ月間持続します。
12ヶ月間効く注射では年1回注射を打てば、フィラリアに感染することはありません。
6ヶ月間効くタイプの注射では静岡の予防期間が8ヶ月間必要なので、1回の接種では十分ではありません。6ヶ月後に再接種すると1年中予防していることになります。
12ヶ月間効くタイプの注射は年1回、6ヶ月間効くタイプの注射は年2回接種すればフィラリアに絶対に感染しないので、翌年のフィラリアの血液検査の必要はありません。
ただし、注射は体重にあわせて薬剤量が変わるため、体重が増加する成長期には使えません。
フィラリアに感染している子に予防薬を飲ませた場合、ショックを起こし中には死に至るケースもあります。
月1回のお薬の場合、前述の通り投与したその日1日しか効いていないため、消化不良や吸収不良があったり、オーナー様の見ていない所で吐き戻してしまったり、投薬を忘れて間隔が開いてしまったりした場合、フィラリアに感染してしまう可能性があります。
また、最近では冬でも暖かい日があるため、予防期間外でも感染する可能性が無いとは言い切れません。
そのため毎年予防薬の投与開始前に、フィラリアに感染していないか確認する血液検査が必要になるのです。
それに対して注射タイプの場合、有効期間内で毎日駆虫効果が持続しているので、その間はフィラリアに感染する事はありません。
そのため適切に追加接種を行えば、血液検査は初回のみで、その後は検査する必要が無くなります。
どの予防薬も安全なものですので、どの予防方法を選択するかはオーナー様のご希望によります。
月1回の投与を忘れがちな方は注射タイプが安心ですし、「毎月のおやつとして楽しみにしている」とジャーキータイプを選ばれる方もいます。
ノミ・ダニの予防を別にするのは面倒という方にはスポットタイプもお勧めです。
それぞれの料金の比較については、スタッフにご相談ください。



サイトマップ






ホーム
元気・食欲がない、いつもと様子が違う